FCPS-2 Medicine

0%
25 votes, 0 avg
95

FCPS-2 Medicine

Welcome to FCPS-2 Medicine Quiz.

Take this test to assess your preparation for the exam. Good Luck!

1 / 98

1. A 57-year-old lady, recently diagnosed with Rheumatoid arthritis has been started on DMARDs. She is taking Prednisolone 7.5 mg daily for a couple of months now and it is slightly hard to discontinue it anytime soon because her pain recurs.

Which is the most suitable therapy you will choose to prevent steroid-induced osteoporosis?

2 / 98

2.

A 70-year-old gentleman presents for review. He has had COPD for five years and is on regular bronchodilator treatment with Budesonide/Formoterol inhaler and Salbutamol inhaler as needed. He has found that he suffers from regular coughing bouts and his exercise tolerance has reduced.
His past medical history includes macular degeneration, osteoarthritis, mild memory impairment and diverticulosis.
What investigation would be most useful to help determine the severity of his COPD?

3 / 98

3.

A 53-year-old obese patient (body mass index = 43) complains of morning headaches and daytime sleepiness. His wife reports that he snores very loudly. He has a history of systemic hypertension, and myocardial infarction 3 years ago with no residual cardiac dysfunction. He is a non-smoker. An overnight oximetry study shows significant hypoxemia with 20 % of the night spent with oxygen saturation below 90% and an oxygen desaturation index (3%) of 38/hour. Arterial blood gases show a pH of 7.38, PaCO2 of 56 mmHg, PaO2 of 67 mmHg and bicarbonate of 32 mmol/L.
Which is the most likely diagnosis?

4 / 98

4.

An 84-year-old nun presented to A&E 2 weeks after discharge from the hospital under the care of the cardiologists. Her presenting
complaint is one of feeling faint and dizzy and intermittently short of breath. She mentions that during her last admission she was started on digoxin because she had an irregular heart rate that was racing away. On discharge, she claims that she had no problems and only developed this dizziness in the past couple of days. Her drug history includes atenolol 100mg once daily. Her ECG today shows a rate of approximately 40 beats per minute with no association between P waves and QRS complexes. What is the next step in her management?

5 / 98

5. A 16-year-old male is having a history of recurrent chest and nasal sinus infections since childhood. Presently, he is having increasing shortness of breath for the last few days with a cough productive of copious purulent sputum.

Which of the following conditions is an unlikely cause for his presentation?

6 / 98

6. A 50-year-old lady presents with a chronic history of diarrhoea associated with abdominal cramps and weight loss. She was treated with surgery and pelvic radiotherapy for ovarian carcinoma in the past. Her labs are as follows:

Hb                                                                   10.3 g/dL

TLC                                                                 8.9 x 109 / L

Platelets                                                          196 x 109/L

MCV                                                                110 fl

Vitamin B12                                                    96 ng/L ( normal range 200 – 1100 ng/L)

Serum Folate                                                  20 mcg/L ( normal range 2.8 – 20 )

Calcium                                                          2.4 mmol/L

Phosphate                                                       1.0 mmol/L

Sodium                                                           142 mmol/L

LFTs and RFTs are normal.

Which of the following is the most useful initial test?

7 / 98

7. A 33-year-old man presents with a chronic productive cough which has been affecting him for several years. He has no other past medical history apart from recurrent otitis media as a child. He takes no regular medications. He has never smoked and has no history of passive smoking and works as a solicitor. He has no pets at home and has no mould that he is aware of. On examination, there is finger clubbing, he appears underweight, and there are coarse late-inspiratory crepitations and a mild wheeze. Also, his heart sounds are louder on the right side, and his apex beat is also only present on the right. What further investigation would most likely confirm the diagnosis?

8 / 98

A 52-year-old man has attended the emergency department with severe palpitations and breathlessness. He describes them as intermittent, lasting between 20 seconds and one minute, and self-resolving.
His past medical history includes myocardial infarction requiring stents, left ventricular systolic dysfunction, and type 2 diabetes mellitus. Electrolytes results are shown below:

8. Na+  142 mmol/L, K+ 3.8 mmol/L, Bicarbonate 24 mmol/L, Calcium 2.36 mmol/L, Phosphate 0.92 mmol/L, Mg 0.96 mmol/L

The most recent ECG is shown below.Whist in the department he describes a sudden recurrence of these palpitations. He denies chest pain and dizziness. HR 210 bpm, BP 125/75 mmHg, SaO2 98%, RR 32/minute, Temp 37 C.

The emergency department registrar has already given intravenous magnesium with no improvement. What is the next most appropriate management?

9 / 98

9. A 25-year-old woman has recently been diagnosed with Marfan’s syndrome. She undergoes an echocardiogram which demonstrates severe aortic regurgitation, significant aortic root dilatation and a left ventricular ejection fraction of 70%. She is asymptomatic and has no family history of aortic dissection. What is the most appropriate management of her cardiac problem?

10 / 98

10. X-linked recessive inheritance is found in:

11 / 98

11. A 52-year-old gentleman presents with 8 hours history of upper abdominal pain and vomiting. He is recently diagnosed hypertensive and was commenced on thiazide diuretics a few days back. He also gives past history of dyspepsia.

On examination, he is unwell looking, sweaty, and tachycardic with a BP of 115/85 mmHg. His abdomen is diffusely tender and bowel sounds are absent.

His labs are as follows:

Hb                                                                   13 g/dL

TLC                                                                 14 x 109 / L

Platelets                                                          215 x 109/L

Sodium                                                           143 mmol/L

Potassium                                                       3.9 mmol/L

Urea                                                                9 mmol/L

Albumin                                                          29 g/L

Calcium                                                          1.9 mmol/L

Phosphate                                                      0.8 mmol/L

Bilirubin                                                           25 µmol/L

Aspartate aminotransferase                          40 IU/L

Glucose                                                          13 mmol/L

pO2                                                                 66 mmHg

pCO2                                                               30 mmHg

 

What is the likely diagnosis?

12 / 98

A 56-year-old gentleman was admitted to the Emergency Department with a two-week history of progressively increasing shortness of breath, with frank haemoptysis for the last couple of days. By the point of admission, he was short of breath on minimal exertion and at rest and was unable to complete full sentences. He also complained of increasing orthopnoea for the last few weeks. He had a long history of recurrent epistaxis, rhinitis and sinusitis, as well as a past medical history of diabetes, hypertension, hypercholesterolaemia and gout. His medication regimen comprised of Mometasone nasal spray, Allopurinol 100mg OD, Ramipril 2.5 mg OD, Amlodipine 5mg OD, Simvastatin 40mg OD, Metformin 500mg TDS and Gliclazide 80mg OD. He smoked 20 cigarettes per day and did not consume alcohol.
On examination, he appeared very unwell with obvious respiratory distress. His respiratory rate was 28/min, oxygen saturation was 90% on room air, BP was 108/72 mmHg, heart rate 130/min and the temperature was 37.9 C. Examination of his cardiovascular system revealed normal heart sounds with a JVP of 3 cm. Examination of the respiratory system revealed the use of accessory muscles with bibasal fine crackles. Examination of the gastrointestinal and neurological systems was unremarkable.
Initial investigations revealed the following:

12. Hb 85 g/l
Platelets 331 * 109/l
WBC 15.2 * 109/l
ESR 79 mm/hr

 

Na+ 128 mmol/l
K+ 6.0 mmol/l
Urea 29 mmol/l
Creatinine 738 µmol/l
CRP 52 mg/l
Glucose 5.8 mmol/l

Chest x-ray: bilateral patchy infiltration
ECG: heart rate 130 bpm and sinus rhythm.
Urinalysis: Blood ++++, Protein +++, Leuc/Nitrites – negative, Glucose – negative
ABG on 15 L/min oxygen:

PaO2 125 mmHg
PaCO2 21 mmHg
HCO3 18.3 mmol/l
pH 7.49

He was commenced on an IV infusion of normal saline, as well as Co-amoxiclav 625mg TDS, and quickly transferred to the Intensive Care Unit. He was cathetrized. A decision was made to institute immediate haemodialysis, for which preparations were being made.

Further investigations revealed the following:
Urine MCS: nil grown
Blood culture – interim results: nil grown

Transoesophageal echocardiogram: normal systolic function, valvular appearances and no vegetations seen

C3 1.22 (NR 0.65 – 1.65g/L)
C4 0.32 (NR 0.16 – 0.60 g/L)
ANA negative
ENA negative
dsDNA negative
cANCA positive
pANCA negative
Rheumatoid factor negative

Given the likely underlying diagnosis, which of the following interventions is the next best step whilst awaiting haemodialysis?

13 / 98

13. A 30-year-old labourer presents with diffuse colicky abdominal pain and night sweats. He also has had a high-grade fever up to 102F associated with rigors and chills, and a dry cough. With antibiotics, these symptoms improved but recurred after 3 days and were accompanied now by frontal headache, body aches and lethargy.

On examination, his temperature is 103 F, pulse 110/min, BP 110/60 mmHg and respiratory rate 20/min. He is lethargic and easily irritable. There is no neck stiffness and he has a clear lung field on auscultation. Cardiac auscultation shows a soft pansystolic murmur at the apex. The abdomen is tender to palpation in the upper quadrants without any guarding or rigidity. There are no focal neurological signs.

On investigations, his Hb is 8.5 g/dL, MCV 85 fl, MCHC 30 pg, TLC 7.5 x 10^9/L with 63% neutrophils, platelets 116 x 10^9/L, ESR 75 mm fall at end of first hour.

Blood glucose is 6.2 mmol/L, Sodium 130 mmol/L, potassium 4.0 mmol/L, bicarbonate 20 mmol/L, creatinine 490 µmol/L, Bilirubin 12 µmol/L, ALT 50 IU/L, LDH 495 IU/L, Amylase 60 IU/L, creatinine kinase 50 IU/L, albumin 28 g/L, total protein 65 g/L, calcium 1.7 mmol/L, phosphate 1.19 mmol/L.

Urine dipstick test : blood +, protein +++

Urine microscopy: granular and hyaline casts seen / HPF

Chest & abdominal x-rays are normal

CT Head – Normal

What is the most likely diagnosis?

14 / 98

14. A 70-year-old gentleman comes to you with easy tiredness and generalized weakness. On examination, he is pale and has widespread lymphadenopathy and 6-cm palpable splenomegaly.

His labs are as follows:

Hb                                                         7.3 g/dL

TLC                                                       29 x 109 / L

Platelets                                                54 x 109/L

Reticulocytes                                        8%

Blood film                                             Polychromasia and spherocytes

Serum Haptoglobins                            Undetected

LFTs and RFTs                                    Normal

 

What is the diagnosis?

15 / 98

15. A 35-year-old female presents with breathlessness on exertion. She is a non-smoker and has two budgies at home. She had severe pneumonia about 4 years ago and required intubation in intensive care for 5 days. She recovered but has reported ongoing dyspnoea and on examination has an inspiratory wheeze. This has not improved despite her GP starting inhaled steroids for asthma. Her chest X-ray was unremarkable, peak flow was reduced and eosinophil count was normal. What is the most likely diagnosis?

16 / 98

16. A 40-year-old male has been brought with severe dyspnea, wheeze, hoarseness of voice and generalized erythematous rash developing immediately after eating shellfish. He is conscious, and distressed due to dyspnea with a blood pressure of 80/60 mmHg, pulse 110/min, resp rate 28/min and O2 saturation of 90% with oxygen.

What is the immediate management step?

  1. Epinephrine 1/1000 solution 0.5 ml IM

 

17 / 98

17. A 50-year-old gentleman presents to the clinic with shortness of breath and a dry cough. He has noticed his symptoms getting progressively worse over months. He has a past medical history of hypertension and depression. He takes only ramipril and has no allergies. On examination, he has bilateral inspiratory crackles at both lung bases. A chest X-ray demonstrates extensive pleural plaques. He worked as an electrician 20 years ago and believes that he may have had asbestos exposure. A diagnosis of asbestosis with extensive pleural plaques is suspected. What are his pulmonary function tests likely to show?

18 / 98

18. A 25-year-old man presents to the emergency department complaining of breathlessness and pleuritic chest pain, which started suddenly 12 hours ago. He has no relevant past medical history and is a non-smoker. His chest x-ray shows a pneumothorax with a 2cm rim. What is the correct management in this situation?

19 / 98

19. A 73-year-old man presents with dyspnoea. A chest x-ray is performed. What is the main finding in the chest x-ray?

20 / 98

20. A 40-year-old male is admitted with a suspected overdose. He has been intubated in an emergency as he was unresponsive. A bottle of empty amitriptyline was found by his wife beside him.

On examination, his mucus membranes are dry, the temperature is 97.60 F, pulse 100/min, blood pressure 120/80 mmHg, respiratory rate 14/min (intubated & ventilated). His pupils are 4mm fixed, tendon reflexes are elicitable and have downgoing plantars. His bladder is palpable up to umbilicus and bowel sounds are audible.

His labs are as follows:

Hb                                                                    14.3 g/dL

TLC                                                                  12.4 x 109 / L

Platelets                                                           236 x 109/L

Sodium                                                            130 mmol/L

Potassium                                                       4.8 mmol/L

Glucose                                                           4.9 mmol/L

Urea                                                                 9.7 mmol/L

Creatinine                                                        99 µmol/L

Chloride                                                           91 mmol/L

ABGs (on ventilator)

pH                                                                    7.3

pO2                                                                  120 mmHg

pCO2                                                                23 mmHg

Bicarbonate                                                     9 mmol/L

Urine microscopy                                            Crystalluria

 

What are these results suggestive of?

21 / 98

21.

A patient, with recent MI and PCI, follow up in cardiology clinic. He is taking his medications regularly and is asymptomatic now. His pulse rate is 55/min but otherwise clinical examination is unremarkable. An ECG is done and shows accelerated idioventricular rhythm (AIVR) with a rate of 55 beats per minute.
What is the next management step?

22 / 98

22. A 36-year-old female, on Warfarin 10 mg per day for previous DVT and pulmonary embolism, has presented with a swelling left elbow which developed spontaneously. There is no pain. Examination confirms it to be a haematoma and there is no bleeding from any other site. Her urgent INR reveals to be 14. Other blood tests including CBC, Urea, and LFTs are normal.

What treatment will you give her?

23 / 98

23. You see a 17-year-old lady with a history of treated acute lymphoblastic leukemia 10 years ago and is on 6 monthly follow-ups. She has come with complaints of weight loss of about 8 kg, malaise and amenorrhea over the last 6 months. On examination, she is thin, has downy hair over her face and neck, and has cool peripheries. There are no palpable lymph nodes and systemic examination is also unremarkable at the moment.

Complete blood count, urea, liver function tests and electrolytes are normal.

What is the most likely diagnosis?

24 / 98

24.

A 27-year-old man is reviewed in the asthma clinic. Despite therapy with high dose Salmeterol/Fluticasone, Montelukast and oral Theophylline, he has suffered a 4th exacerbation in the past year and is now unable to reduce his dose of oral Prednisone below 10 mg without a significant increase in shortness of breath and wheeze. On examination, his blood pressure is 125/80 mmHg, pulse is 80/minute and regular. Chest auscultation reveals a quiet wheeze. His peak flow is 429 ml/min, (550 predicted). Eosinophils are elevated at 3.9 x 10^9/L. IgE is within the normal range.
Which of the following is the most appropriate next intervention?

25 / 98

25.

A 45-year-old woman has a recent diagnosis of adenocarcinoma of the lung made at bronchoscopy 1 week ago. She presents to the emergency department acutely short of breath
with a non-productive cough. She has an ache in the centre of her chest that is made worse by
breathing in. She is apyrexial. Oxygen saturations are 91 % on 40 % oxygen. Respiratory rate is
30 breaths/min. Blood pressure (BP) is 100/65 mmHg and pulse is 110 beats/min.
Examination reveals decreased expansion of the right side with dullness to percussion
throughout the right side. Her trachea is deviated to the right and the apex beat is not
palpable. Breath sounds are reduced on the right. What is the most likely diagnosis?

26 / 98

26.

A 62-year-old man sees his GP with complaints of leg pain. Over the last few months, he notices a crampy uncomfortable feeling in the back of both of his calves when he walks to the shops. The discomfort can be so bad that he has to stop and rest for a few minutes after which he notices that his symptoms are improved. On occasions, he also gets the symptoms when he is shopping in the supermarket. He attributes this to overexerting himself, and tries to rest on his shopping trolley while walking but does not seem to help. He has a 40-pack year smoking history and takes amlodipine for his blood pressure, and paracetamol and ibuprofen for lower back pain that has troubled him for years.
Physical examination reveals mild atrophy of his thigh and calf muscles bilaterally, in addition to shiny pale skin with significant hair loss throughout his lower limbs. His pedal pulses are bilaterally impalpable, and popliteal pulses are faint. Power in both lower limbs is normal throughout all movements, and he has normal patellar reflexes bilaterally and absent ankle reflexes. His Babinski reflex is downgoing on the left side and equivocal on the right side. A recently obtained ankle-brachial pressure index test yielded a result of 0.70 on the right side and 0.95 on the left side. X-rays of his lumbar spine show evidence of joint space narrowing and osteophytes.
Which one of the following is the next best step in the management of this patient?

27 / 98

27. A 75-year-old man presents with chronic cough and breathlessness that has been increasing over the past 12 months. He is a lifelong non-smoker. On examination, he has clubbing of the fingers and crackles over the lower half of both lungs.

A chest X-ray shows an interstitial pattern mainly in the lower lobes with a suggestion of honeycombing. Lung function tests show an FVC of 75% of predicted with an FEV1/FVC ratio of 0.86; carbon monoxide transfer is 45% of predicted.

A high-resolution CT of the chest shows symmetrical bilateral reticular opacities with honeycombing, predominantly in the bases of the lungs. Laboratory tests for connective tissue disease are negative.

Which treatment has been shown to be of long-term benefit for his lung disease?

28 / 98

28. A 68-year-old male has presented with episodic palpitations for several months which occurs almost every other week. He gives h/o one episode of exertional syncope about a week ago. His past medical history includes a Myocardial infarction about 15 years back for which he received thrombolysis. He is using Bisoprolol, Aspirin, Atorvastatin and Ramipril. Physical examination is normal. ECG done which shows RBBB, LAD and First degree AV block.

What is the next management step?

29 / 98

A 24-year-old female presents to the clinic complaining of several episodes of palpitations. She states that during the episodes it feels like her heart skips a bit. She denies pre-syncope or syncope. She has one episode every few days. She drinks approximately 28 units of alcohol per week and several cups of coffee per day.
You arrange a 7-day cardiac Holter monitor. The results are as follows:

29. PR interval 100 ms, QRS duration 110 ms, Events: 24 single ectopics with normal P wave morphology and a QRS of 110 ms

What is the most appropriate initial management plan?

30 / 98

30. A 53-year-old male presents with a 2-week history of diffuse arthralgia, fatigue and a dry cough. He was prescribed a course of antibiotics 3 days back but his symptoms have worsened.

On examination, his temperature is 99.60F, pulse 100/min, respiratory rate 22/min, and blood pressure 110/60 mmHg. A 1.5-cm lymph node is palpable in his neck. On examination of his throat, you notice the gums are hypertrophied. His respiratory system examination is unremarkable. Abdominal palpation reveals hepatosplenomegaly.

What is the most likely diagnosis?

31 / 98

31.

A 56-year-old man presents to the emergency department with a three-day history of sharp chest pain. He denies any shortness of breath. His pain is worse on deep inspiration and has not improved with paracetamol. He has no other symptoms. He has a past medical history of COPD and uses regular combination inhalers with salbutamol inhalers when he becomes short of breath. He has not recently had an exacerbation and he has never been admitted to ICU or had invasive ventilation. On examination, vital parameters are within normal range. The chest is clear on auscultation. A chest X-ray demonstrates a < 1cm right-sided pneumothorax. He is treated with high flow oxygen. What is the benefit of oxygen in the treatment of a pneumothorax?

32 / 98

32.

A 25-year-old man is reviewed prior to discharge. He was admitted to the hospital one day ago with a small pneumothorax. As it was <1 cm in size he was treated with high flow oxygen and he was admitted for observations over 24 hours. His symptoms have resolved and a repeat chest x-Ray shows complete resolution of the pneumothorax. What advice should he be given before discharge?

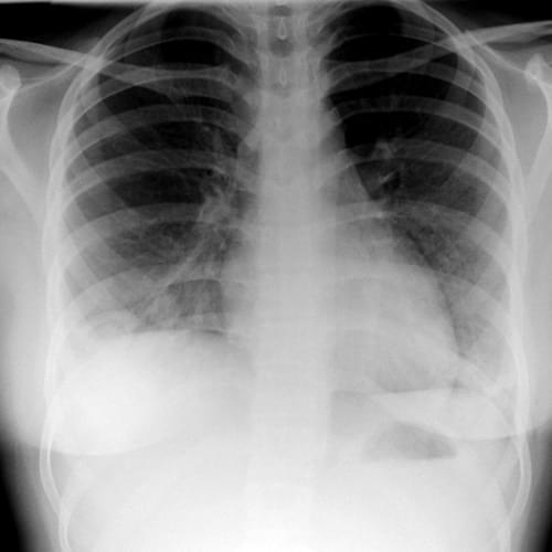
33 / 98

A 36-year-old woman is investigated for lethargy, fever, cough and weight loss. She has been treated by her GP with five courses of antibiotics over the past six months for a combination of chest and sinus infections. Her symptoms, however, have continued unabated. Clinical examination is unremarkable other than some scattered crackles in the right base. She is apyrexial. Urine dipstick: blood ++, protein +.
Lung function tests and blood tests show the following:

33. FEV1 4.3 L (99% of predicted)
FVC 5.1 L (101% of predicted)
FEV1/FVC 84%
Hb 13.1 g/dl Na+ 141 mmol/l
Platelets 459 * 109/l K+ 3.6 mmol/l
WBC 6.9 * 109/l Urea 10.9 mmol/l
Creatinine 131 µmol/l
CRP 78 mg/l

Her chest x-ray is shown here:

What is the likely diagnosis?

34 / 98

34. A 60-years-old lady presents with a 2-year history of arthralgias particularly affecting hands, wrists, elbows and ankles. She has developed a rash over her legs for the last 2 months. She also gives a history of particularly severe pain in hands on exposure to cold. On examination, there is no joint swelling, or tenderness. You note a raised purpuric rash over legs. There is no other positive finding on clinical examination.

Her labs are as follows:

Hb                                                                   13.2 g/dL

TLC                                                                 6.8 x 109 / L

Platelets                                                          146 x 109/L

Urea                                                                6.0 mmol/L

Creatinine                                                       140 µmol/L

Sodium                                                           138 mmol/L

Potassium                                                       4.3 mmol/L

Glucose                                                          5.1 mmol/L

CRP                                                                4 µg/L

RF                                                                   Positive

ANA                                                                weak positive

Complement levels                                        C3 – Normal, C4 – Low

24-hour urine proteins                                    3.1 g / 24 h

What is the most likely diagnosis?

35 / 98

A 30-year-old man presents to the emergency department with a four-day history of subjective fevers, shortness of breath, non-productive cough and malaise. On arrival at the emergency department, his observations revealed a temperature of 38.5ºC, heart rate 120/min, blood pressure 90/60 mmHg, respiratory rate 35/min and oxygen saturation of 80% on room air. An arterial blood gas revealed severe type 1 respiratory failure and the patient was intubated and placed on mechanical ventilation.
A post-intubation chest x-ray revealed bilateral pulmonary infiltrates and within the limits of a portable chest x-ray, a normal-sized cardiac silhouette.
Intravenous 1g ceftriaxone, 500mg azithromycin and 200mg hydrocortisone were given in the emergency department for severe community-acquired pneumonia prior to transfer to the intensive care unit (ICU). The patient remained on invasive mechanical ventilation for the first 24 hours. During this time, he underwent computed tomography pulmonary angiography (CTPA) and bronchoalveolar lavage. He made good progress and was extubated to high flow nasal cannulae after 24 hours. He is haemodynamically stable. He is stepped down to the high dependency unit (HDU), where you review the patient.
You speak with the patient’s wife to obtain a collateral history. The patient has no known past medical, surgical, drug or family history of note. He works as a full-time chef and there have been no known sick contacts. He drinks 1-2 cans of standard strength beer per night and occasionally binge drinks at the weekends. He recently started smoking cigarettes to cope with increased stress at work and there is no history of illicit drug use. There has been no recent travel history.
On examination in the HDU, the temperature was 37.5ºC, heart rate 90/min, blood pressure 100/60 mmHg and respiratory rate 26/min. He is on high flow oxygen via nasal cannulae, with a flow rate of 30 litres per minute, the fraction of inspired oxygen is 30% and has an oxygen saturation of 95%. There are fine inspiratory crepitations audible in the lower posterior chest bilaterally which do not change with coughing. The jugular venous pressure was not elevated and there was no pedal oedema.
Current medications are IV Ceftriaxone, Azithromycin and PRN Paracetamol.
You review the latest available results for this patient:

35. WBC 11 * 109/l Urea 7 mmol/l
Neuts 8.5 * 109/l Creatinine 80 µmol/l
Lymphs 1.5 * 109/l CRP 80 mg/l
Eosin 1.0 * 109/l
Bronchoalveolar lavage Result
Neutrophils 5%
Lymphocytes 10%
Eosinophils 30%
Respiratory viruses PCR Negative
Mycoplasma pneumoniae PCR Negative
Microscopy, culture and sensitivities Nil growth
Imaging Report
CT pulmonary angiogram No pulmonary embolism. Bilateral patchy areas of ground-glass opacities and small bilateral pleural effusions

Which of the following would be the most appropriate ongoing management for this patient?

36 / 98

36.

A 60-year-old man with metastatic small cell lung cancer is admitted with shortness of breath, cough and purulent sputum.
His chest x-ray shows right lower lobe pneumonia with partial collapse of the right lung. He has a bulky primary tumour at the right hilum and extensive hilar lymphadenopathy.
He is treated with IV antibiotics, fluids and oxygen. His symptoms improve over the next 5 days and his breathing is comfortable on 2 litres of oxygen via nasal cannulae. His pain is controlled on 20 mg long-acting Morphine sulphate twice daily. The decision is made to discharge him to a hospice for end-of-life care. However, due to the proximity of his lung tumour to major vessels, he is at risk of a major terminal bleed.
Which medication should the hospice be advised to give in the event of a major bleed?

37 / 98

A 67-year-old woman is complaining of a six-hour history of chest pain and dizziness in the high-dependency unit. She underwent a mitral valve replacement five days ago and had some temporary trans-venous pacing wires removed earlier today.
On examination, she has oxygen saturation of 93% on 2 litres via nasal cannula, has a heart rate of 110/min, a blood pressure of 76/43mmHg, has a temperature of 37.9ºC, and is responsive to voice. She feels cool peripherally. An ECG is performed at the bedside which shows sinus rhythm with QRS complexes of alternating amplitude.
Blood tests from this morning show: Hb 89 g/L, WBC 13.1 x 10^9/L, Platelets 121 x 10^9/L, Na= 143 mmol/L, K= 3.1 mmol/L, Urea 18.2 mmol/L, Creatinine 151 mcmol/L, CRP 282 mg/L, Mg 0.83 mmol/L.

37. What is the most appropriate management given the likely diagnosis?

38 / 98

A 56-year-old gentleman presents with shortness of breath and haemoptysis which has worsened over ten days. He is currently coughing up an estimated 200 ml of fresh red blood every day. He has night sweats and feels cold and sweaty at times. He has not lost any weight and was well prior to this.
He has mild COPD and takes Foster inhaler twice a day with no exacerbations in the past 5 years. He moved to the UK 15 years ago but lived 10 years in Louisiana as a mining operator extracting minerals with exposure to bats and birds during this time. He drinks 10 units of alcohol a week and was born in Syria where he received a BCG vaccine as a child. He has not been around any ill contacts and lives with his wife and two children. There is no recent foreign travel and he keeps no pets.
On examination, he has crepitations in the right side mid and upper zones. He has palpable lymph nodes in his axillae and neck but his abdomen is non-tender with no hepatosplenomegaly. He is breathing rapidly and appears cachectic. His observations show temperature 38.3ºC, respiratory rate 28/min, heart rate 98/min, saturation 88% in air. An arterial blood gas has not been done.

38. Hb 110 g/l Na+ 139 mmol/l
Platelets 450 * 109/l K+ 3.4 mmol/l
WBC 13 * 109/l Urea 4.1 mmol/l
Neutros 9.8 * 109/l Creatinine 78 µmol/l
Lymphs 0.78 * 109/l CRP 130 mg/l
Eosin 0.1 * 109/l
HIV serology Negative

 

Sputum culture No acid-fast bacilli or other growth seen
Chest x-ray Bilateral hilar lymphadenopathy with patchy right upper zone consolidation
Beta-D-glucan strongly positive

What is the likely diagnosis?

39 / 98

39. A 42-year-old man is referred due to increasing shortness of breath and frequent chest infections. He is a smoker and smokes a packet per day. When he was a child he used a salbutamol inhaler but stopped this around the age of 6-7 years. He also had a whooping cough as a child. Pulmonary function tests performed by his GP show the following:

FEV1 – 3.6 L (predicted 3.8 L)

FVC 4.3 L (predicted 4.5 L)

FEV1/FVC – 84% (normal > 75%)

On auscultation of his chest scattered crepitations are noted. His oxygen saturations are 96% on room air. A CT chest is requested:

What is the most likely diagnosis?

40 / 98

A 55-year-old lady with severe asthma attends with two days of shortness of breath and chest tightness. She has a history of multiple exacerbations and was intubated three months ago for a severe exacerbation. She usually takes Montelukast, Beclometasone and Salbutamol.
On arrival, she is cyanosed and saturating at 92% in the air. There is accessory muscle use and she is not able to vocalise beyond groans. Her respiratory rate is 22/min and there is a quiet wheeze heard bilaterally in the chest. She has failed to respond to nebulisers, steroids and magnesium sulfate. She is planned for intubation and initiation of aminophylline.

40. Hb 154 g/l Na+ 145 mmol/l
Platelets 531 * 109/l K+ 3.2 mmol/l
WBC 10.1 * 109/l Urea 4.5 mmol/l
Neuts 7.5 * 109/l Creatinine 65 µmol/l
Lymphs 0.9 * 109/l CRP 32 mg/l
Eosin 1.4 * 109/l
Chest x-ray Hyperexpanded lungs with no consolidation or pneumothorax

What recording is essential when administering aminophylline?

41 / 98

41.

A 52-year-old taxi driver, with a 55 pack-year smoking history, presents with increasingly
breathless on exertion. Oxygen saturations are 98% on room air. Examination reveals tracheal
tug, reduced cricosternal distance and a barrel chest. He has reduced cardiac dullness and symmetrically reduced air entry. CXR reveals hyperinflation and spirometry reveals moderate airway obstruction. The patient walks 300 m on an incremental walk test before becoming breathless. Oxygen saturation is normal in room air.
What pathological change best explains why he is breathless on exertion?

42 / 98

42. A 52-year-old male presents with pain left upper abdomen and shoulder tip. On further questions, he gives recent-onset fatigue, weight loss and night sweats. On examination, he has pallor. There is tenderness in the left hypochondrium and the spleen is palpable 10 cm below the left costal margin. There is no other positive physical sign.

His labs are as follows:

Hb                                                                    6.2 g/dL

TLC                                                                  49 x 109 / L

Platelets                                                           513 x 109/L

Neutrophils                                                      55%

Lymphocytes                                                   1%

Monocytes                                                      1%

Eosinophils                                                     3%

Basophils                                                        3%

LAP score                                                       3 (Normal values: 35-100)

What is the likely diagnosis?

43 / 98

43.

A 44-year-old is referred to a respiratory clinic with 2 months of exertional shortness of breath. He has a past medical history of HIV. He is well controlled on Truvada. He had an unprovoked pulmonary embolism three years ago and was treated with six months of warfarin. He smoked 15 cigarettes daily for the last 20 years. He recently completed his first mountaineering expedition and successfully reached the summit of Kilimanjaro.
On examination, there is a loud P2. The jugular venous pulse is raised and there is peripheral oedema. Chest auscultation is unremarkable and there are no murmurs.
A transthoracic echocardiogram is arranged, which demonstrates a mean pulmonary arterial pressure (PAPm) of 38 mmHg and mitral regurgitation with a regurgitant fraction of 14%.
An HRCT chest is normal. V/Q scanning demonstrates mismatched perfusion defects. The patient is referred for a right heart catheter, which confirms a PAPm of 38 mmHg and also demonstrates a pulmonary arterial wedge pressure (PAWP) of 11 mmHg.
Given the likely diagnosis, what is the probable underlying aetiology?

44 / 98

44.

A 67-year-old man was admitted from A&E 3 days after suffering a myocardial infarction. He was complaining of increasing shortness of breath. On observation was tachypnoeic at rest whilst sitting up. On examination, his jugular venous pressure was raised, respiratory rate was 30 breaths per minute and his heart rate was 120/minute.
On auscultation, you hear a systolic murmur but no other findings. An erect chest X-ray was normal. Which of the
following complications of MI is most likely to be the cause of this gentleman’s shortness of breath?

45 / 98

45. A 45-year-old teacher was referred to the cardiologists after having been admitted with shortness of breath. Her past medical history consists of inflammatory bowel disease but no cardiac problems. On examination, her apex was located in the anterior axillary line in the sixth intercostal space. There were no peripheral signs of cardiovascular disease but on auscultation a fourth heart sound was audible. There were no murmurs. A bedside 2D echo showed a dilated heart with an ejection fraction of 20–25%. The likely cause of her dilated cardiomyopathy is:

46 / 98

46.

A 60-year-old man presents to his general practitioner a month after a permanent pacemaker (PPM) insertion, which was inserted for symptomatic first-degree heart block. He reports that since this was inserted, he has actually felt worse and his exercise tolerance has become more limited.
An ECG is performed and shows a paced rhythm on VVI at 68/min. Each pacing spike is followed by a QRS complex and there are no pacing spikes in between beats. He has regular P-waves at a rate of 35/min which are not related to the QRS complexes.
What is the most appropriate intervention?

47 / 98

47. All of the following are seen in bulimia except:

48 / 98

48.

A 62-year-old man presents to his GP with several months of exertional chest pain which subsides with rest. He is using Atorvastatin for dyslipidemia. The GP starts Bisoprolol.
Several weeks later, the patient complains of the persistence of symptoms.
Regarding drug therapy for this patient, what should be added next?

49 / 98

49. A 12-year-old child has been brought by his mother with nocturnal enuresis and easy fatiguability. The child appears small for his age and his mother comments that he is not doing well at school.

His labs are as follows:

Sodium                                                           145 mmol/L

Potassium                                                       2.8 mmol/L

Chloride                                                          80 mmol/L

Bicarbonate                                                    35 mmol/L

Urea                                                                5 mmol/L

Glucose                                                          4.4 mmol/L

24-hour urine                             60 mmol/L of potassium, 60 mmol/L of sodium

 What is the diagnosis?

50 / 98

A 42-year-old with a past medical history of asthma was reviewed by you in the clinic. Asthma was diagnosed in childhood. In adulthood, he has had multiple admissions to the hospital with asthma exacerbations in the summer months and never required intubation and ventilation for these.
He reports a nocturnal cough up to three times per week. There are associated rhinorrhoea and dry eyes that have been present since the weather became a bit warmer. Currently, he is using a salbutamol inhaler every other day for wheeze and mild dyspnoea. He works in construction and finds that his symptoms are worse when he is outside. Three weeks ago he was admitted to the hospital with an exacerbation of his asthma, where he was treated with salbutamol nebulisers and a short course of prednisolone.
Other past medical history includes eczema, allergic rhinitis and idiopathic generalised epilepsy. He has not had a seizure for many years. Drug history reveals:

  • 50. Salbutamol metered dose inhaler when required
  • Salmeterol 50 micrograms/fluticasone propionate 500 micrograms – two puffs twice daily
  • Levetiracetam 500mg twice daily

On examination, vital signs are all normal. Auscultation of the chest reveals some mild end expiratory wheeze in the upper posterior zones bilaterally. The jugular venous pressure is not elevated, heart sounds were dual with no murmurs and there was no pedal oedema.

Hb 13.9 g/dl

WBC 7 x 10^9/L (Neutr 4 x 10^9/L, Lymphos 1.5 x 10^9/L, Eosinophils 0.5 x 10^9/L)

Platelets 290,000

Sodium 140 mmol/L, Potassium 3.6 mmol/L, Urea 4 mmol/L, Creatinine 60 mcmol/L, C-reactive protein 2 mg/L

Aspergillus precipitins – Negative

IgE – 500 UI/ml (reference range 150 – 300 UI/ml)

Chest x-ray – Appears normal

Which of the following would be the most appropriate management for this patient?

51 / 98

51. For a 61-year-old male patient with severe COPD (FEV1 32% of predicted and PaO2 53 mmHg), which of the following has been shown to prolong his life expectancy?

52 / 98

52. A 60-year-old man with hypertension presents with uncontrolled blood pressure despite being on Amlodipine and Enalapril. He has no symptoms of postural hypotension, and his latest ambulatory blood pressure readings show an average blood pressure of 160/94 mmHg. His lab work shows:

Na+ 137 mmol/L, K+ 4.2 mmol/L, Urea 4.5 mmol/L, Creatinine 85 mcmol/L

What medication you would prescribe as a next step to manage his hypertension?

53 / 98

53. A 35-year-old male with a 1-year history of hypertension is referred for difficult to control blood pressure. He is on ACE inhibitors, a beta-blocker and a calcium channel blocker. Other than occasional post-prandial dyspeptic symptoms, his general health is excellent.

On examination, his blood pressure is 210/110 mmHg. Fundoscopy showed Grade-III hypertensive retinopathy. The systemic examination is unremarkable.

His labs are as follows:

Urea                                                     4.0 mmol/L

Creatinine                                             109 µmol/L

Sodium                                                 146 mmol/L

Potassium                                            3.0 mmol/L

Bicarbonate                                           32 mmol/L

Glucose                                                4.0 mmol/L

Calcium                                                2.1 mmol/L

Urine                                                     Negative for protein or blood

 

What is the likely cause of uncontrolled hypertension?

54 / 98

A 65-year-old gentleman presents with a three-day history of a productive cough. He complains that over the last two days he has been progressively shorter of breath, He complains of feeling very weak and lethargic and on further questioning reports fevers with rigors. His wife brought him to the emergency department as she was concerned as he appeared to be deteriorating rapidly.
Observations are: heart rate 125 beats per minute, respiratory rate 32 breaths per minute, S54. aO2 90% on room air, temperature 38.9ºC, blood pressure is 130/85 mmHg. He appears distressed but is not confused.
Initial investigations show:
CBC –

Hb 134 g/l
Platelets 550 * 109/l
WBC 18 * 109/l

KFTs –

Na+ 141 mmol/l
K+ 3.7 mmol/l
Urea 9.2 mmol/l
Creatinine 130 µmol/l

Chest x-ray shows left lower zone consolidation.
From the above information, what is his CURB-65 score?

55 / 98

55. A 75-year-old gentleman is referred by his GP to a consultant cardiologist for management of his newly diagnosed atrial fibrillation (AF). Palpitations and occasional shortness of breath are the only symptoms he experiences. He has no past history of cardiovascular disease but has suffered a transient ischaemic event in the past. On examination, he is found to have an irregular heart rate ranging between 70 and 90 beats per minute. ECG confirms AF. Which of the following is the most appropriate next stage in his management?

56 / 98

56. All of the following are seen in bulimia except:

57 / 98

57.

A 58-year-old female presents to the hospital with 3 days of breathlessness, cough and fevers. She has a history of asthma but has had no prior admissions. At presentation she is diaphoretic with warm peripheries. She has a pulse of 140 beats/min and sinus rhythm, blood pressure of 70/40 mmHg, and temperature of 38.4°C. A chest X-ray shows consolidation involving the right lower and middle lobes. Electrocardiography demonstrates ST depression in leads V3–V5 with
T wave inversion. The Troponin level is elevated. Arterial blood gases demonstrate a pH of 7.29, PaO2 50 mmHg, and PaCO2 30 mmHg. Serum biochemistry reveals Na 130 mmol/L, K 4.9 mmol/L, urea 11.4 mmol/L (Normal Range 2.1–9.0), creatinine 120 micromol/L (NR 40–90), and HCO3 – 14 mmol/L (NR 23–33). You assess that she is in shock. From your findings you should institute the following treatment based on the probable cause of her shock:

The combination of  Acute kidney injury (AKI), a lacey rash (livedo reticularis) and raised eosinophils following angiography points to a likely diagnosis of cholesterol embolism.

58 / 98

A 66-year-old man is admitted with a 2-hour history of central chest pain radiating to the left arm and is associated with nausea and vomiting. He has a past medical history of hypertension, dyslipidemia and diet-controlled diabetes. He takes Amlodipine and Atorvastatin.
On examination, he is afebrile, his blood pressure is 145/90 mmHg and heart rate is 110 beats per minute. His saturations are 96% on room air. Cardiovascular and respiratory examinations are unremarkable.
An ECG shows T wave inversion in leads I, V4, V5 and V6. Cardiac biomarkers are raised. CBC with differential, renal functions and electrolytes are normal. He has been managed for NSTEMI acutely, and 3 days later he undergoes coronary angiography with stenting of the left circumflex artery. On systems reviews, prior to discharge, he comments that he has noticed a rash on his legs and has not been passing much urine despite drinking plenty of water. On examination, he has a bluish lacey discolouration over his legs. He has no palpable bladder. CBC shows eosinophilia and RFTs are slightly deranged.

58. What is the most likely diagnosis?

59 / 98

An 87-year-old man is admitted to the hospital with a severe exacerbation of his COPD. He is breathless on rest and although alert and orientated, is starting to become drowsy. His observation reveals a temperature of 37.8ºC, a heart rate of 80 beats per minute, blood pressure of 115/75 mmHg, respiratory rate of 28 breaths per minute and oxygen saturation of 84% on a 28% Venturi mask.
An arterial blood gas is performed and reveals a PaO2 of 9.0 kPa, PCO2 of 11.4kPa, HCO3 of 31 mmol/l and a pH of 7.29.
A decision is made to commence him on non-invasive ventilation – which of the following is the most appropriate management for this patient?

60 / 98

A 22-year-old student was referred by his general practitioner with a 4-week history of increasing cough and breathlessness. The cough was generally non-productive but he had coughed up a small amount of blood on 3 occasions. His past medical history consisted only of asthma which was well controlled with a Salbutamol inhaler. There was no family history of venous thromboembolism. His recent travel history included a trip to Sierra Leone 3 months ago. He was a non-smoker and drank 20 units of alcohol per week.
On examination, his temperature was 37.6 C, heart rate 80/minute, blood pressure 125/90 mmHg, respiratory rate 22 breaths per minute and oxygen saturation 92% on room air. He was able to talk in full sentences. A few bibasal crackles were evident on auscultation of the chest. His JVP was not elevated and heart sounds were normal.
Investigations:

60. Hb 14.5 g/dl

WBC 8 x 10^9/L (Neuts 3.5 x 10^9/L, Lymphs 1.6 x 10^9/L, Eosins 1.3 x 10^9/L)

Platelets 325 x 10^9/L

Sodium 136 mmol/L, Potassium 3.9 mmol/L, Urea 7.0 mmol/L, Creatinine 68 mmol/L
Bilirubin 13 mcmol/L, ALP 41 IU/L, ALT 33 IU/L, GGT 18 IU/L, Albumin 40 g/L

Chest x-ray: Bilateral lower zone haziness
ECG: Normal sinus rhythm
What is the most appropriate treatment for the underlying condition?

61 / 98

61.

A 30-year-old pregnant woman (24 weeks) is admitted to the acute medical unit with sudden onset shortness of breath and pleuritic chest pain. She has no past medical history other than eczema and this is her first pregnancy.
On examination, auscultation of her chest reveals only a mild wheeze with oxygen saturation of 94% on room air and a respiratory rate of 25/min. Her heart sounds are normal, with a heart rate of 97 bpm and blood pressure is 105/60 mmHg. An ECG shows sinus rhythm.
The FY1 doctor on the ward has requested a D-dimer to try and ‘speed up the diagnosis, which comes back positive.
What is the next appropriate investigation?

62 / 98

62. A 72-year-old woman is brought to ER after she had an episode of loss of consciousness. She gives a history of increasing shortness of breath on exertion. Her past medical history includes a right total hip replacement following a fractured neck of femur about 4 years ago. Otherwise, she is on no regular medication. There are no drug allergies.

On examination, her pulse was 80/min, blood pressure 105/90 mmHg, and respiratory rate 16 breaths/minute. You found the pulse to be slowly rising. There was an ejection systolic murmur heard loudest in the aortic area, and radiating to the carotid arteries.

Her ECG shows sinus rhythm and left ventricular hypertrophy criteria. The chest x-ray appears normal.

A transthoracic echocardiogram shows an Aortic valve area of 0.9 cm^2 (normal 3-4 cm^2) and transvalvular gradient 55 mmHg. Aortic valve replacement is considered for severe aortic stenosis. What other investigation is needed to be done before the procedure?

63 / 98

63. A 30-year-old female presents with a recent-onset headache worse in the morning and diplopia.

On examination, she is obese with a weight of 104 kg, there is papilloedema and partial right VI cranial nerve palsy. The child has been brought by his mother with nocturnal enuresis and easy fatiguability. The rest of the neurological examination was normal.

What is the diagnosis?

64 / 98

64. A 56-year-old woman presents to the clinic for review following investigations and MDT discussion. She has chronic exertional dyspnoea and following a restrictive pattern detected on spirometry and changes on high-resolution CT scanning she has been diagnosed with idiopathic pulmonary fibrosis. What medication can be used to modify disease progression?

65 / 98

65. An 18-year-old female, who has taken an overdose of 30 paracetamol tablets 36 hours ago, presents with jaundice.

What is the best test to ascertain her prognosis?

66 / 98

66. A 25-year-old woman presents to ED with three days of acute shortness of breath. She initially had a dry cough and sore throat. She is usually fit and well and is fully vaccinated. She is taking the combined oral contraceptive pill. On examination, she had bibasal crepitations with dullness to percussion at the bases. Her observations show a respiratory rate of 25 breaths per minute, heart rate of 105 beats per minute and saturations of 96% maintained on a 60% venturi mask. Her JVP is seen at 5 cm above her sternal angle and there are no murmurs.

Na+ 132 mmol/L, K+ 4.9 mmol/L, Urea 5.8 mmol/L, Creatinine 90 mcmol/L, Troponin 18000 ng/ml (normal value < 20). ECG show ST elevation in V-V4. What is your most likely diagnosis?

67 / 98

An 80-year-old woman was a passenger in a car that collided with a lamppost in the city
centre. She was initially complaining of pain in her right hip and ribs but has become
increasingly drowsy since the paramedics administered 2 mg of morphine. She is brought
to the emergency department by ambulance.
Urgent X-rays reveal a pelvic fracture and a single right-sided rib fracture. Having, initially been drowsy but responsive she is now unresponsive. Oxygen saturation is 87 % on 2 L/min oxygen via nasal cannulae.
She is apyrexial. BP is 110/66 mmHg, pulse is 65 beats/min. There are no new findings on
examination.

67. An urgent CT brain reveals only small vessel disease. Arterial blood gas: pH 7.22, PaO2 65 mmHg, PaCO2 75 mmHg, HCO3 − 26 mmol/L.

What is the most likely cause of her deteriorating conscious level?

68 / 98

A 68-year-old man has been referred to the hospital. He complains of intermittent palpitations, occurring once a week and self-resolve within seconds. There are no associated symptoms.
An ECG which was performed by the GP was reported as showing atrioventricular dissociation.
Currently, he feels well. On examination, his pulse rate is 64/min, BP 145/70 mmHg, Resp rate 14/min, Temperature 37.2 C, Sats on room air 94%. His ECG revealed Mobitz II AV block.

68. What is the appropriate next step of treatment?

69 / 98

69. A 65-year-old  is admitted with pyrexia of unknown origin. He has past history of IHD and PCI. On examination, his pulse is 98/min, temperature 38.3ºC and blood pressure 105/65 mmHg. A petechial rash is noted on his hands and legs. On cardiac auscultation, a systolic murmur is noted. Lung auscultation is unremarkable. His 3-year-old echocardiogram showed no valvular disease. A chest x-ray is normal and the urine dipstick shows blood ++.

A presumptive diagnosis of infective endocarditis is made and empirical treatment with IV Amoxicillin and Gentamicin is given. Two days later blood cultures show a coagulase-negative staphylococcus. What is the most appropriate action with respect to antibiotic therapy?

70 / 98

70. An 89-year-old lady presents acutely short of breath and distressed. She has a background of previous myocardial infarction (MI) and hypertension. She is now coughing up white sputum. Examination reveals bilateral coarse crepitations throughout the lung fields. She has a raised jugular venous pressure and peripheral oedema. Observations are a respiratory rate of 35/min, oxygen saturation of 92% on 15 litres of oxygen per minute, blood pressure 135/90 mmHg, and heart rate of 100/min. Chest X-ray reveals widespread interstitial shadowing. Intravenous furosemide has been given but the patient fails to improve. Which of the following would be useful in treating this patient?

71 / 98

71.

A 62-year-old man is referred to the respiratory clinic by his GP. Having previously been well controlled, he has had four exacerbations of chronic obstructive pulmonary disease in the last 12 months. His forced expiratory volume in one second (FEV1) is 44% of the predicted normal. His inhaled medications include a long-acting muscarinic antagonist, a long-acting beta-2 agonist and an inhaled corticosteroid. He quit smoking five years previously. His six-minute walk distance is 100 m.
On examination, he is a barrel-shaped chest and there is mild wheeze heard bilaterally. The jugular venous pulse is not raised and there is no peripheral oedema.
What is the most appropriate next step in management?

72 / 98

72. A 42-year-old male, with HIV, is found to have a tuberculin skin test of 8 mm induration. He has no symptoms and has not had a BCG vaccination. He has no history of contact with tuberculosis patients. Chest X-ray is normal. What is the most appropriate for him?

73 / 98

A 78-year-old man is seen in the respiratory clinic due to poor control of his chronic obstructive pulmonary disease (COPD). Despite being prescribed inhaled salbutamol as required, he remains breathless on minimal exertion, limiting his ability to carry out daily activities. These symptoms are consistently present with no diurnal variation.
He has a 50 pack-year smoking history. His past medical history includes hypertension for which he takes Ramipril. He has no allergies. Recent blood tests show the following:

73. Hb 14 g/dl

WBC 6 x 10^9/L (Neuts 4.1 x 19^9/L, Lymphs 1.7 x 10^9/L, Mono 0.4 x 10^9/L, Eosin 0.1 x 10^9/L)

Platelets 300 x 10^9/L

Which of the following treatment options would be most appropriate to initiate?

74 / 98

A 32-year-old man has presented to the hospital with a 4-day history of fatigue, palpitations, and nausea. He recently had severe diarrhoea. There is no vomiting or syncope.
Examination shows no apparent cardiovascular or neurological abnormality. The ECG borderline prolonged PR, small T waves in the limb leads, flattened T waves in the chest leads and U waves.

74. What electrolyte abnormality will you anticipate in his blood results?

75 / 98

A 61-year-old man comes to his GP complaining of cough and dyspnoea on exertion. He has had the cough for over 2 years, but it has gotten worse recently along with increasing shortness of breath. He has no haemoptysis, chest pain or leg swelling. The patient has a 60 pack-year smoking history and drinks a moderate amount of alcohol. His temperature is 37.2ºC, blood pressure is 140/80 mmHg, his pulse is 80/min, and respirations are 20/min.
Chest x-ray shows prominent bronchovascular markings and mild diaphragmatic flattening.
Pulmonary function test results are as follows:

75. Forced expiratory volume in 1 second 67% of predicted
Forced vital capacity 95% of predicted
FEV1/FVC ratio 0.65

Carbon monoxide diffusion capacity is 100% of the predicted value.
Which of the following is the most likely cause of this patient’s symptoms?

76 / 98

76.

A 68-year-old man is being treated in a medical ward for an empyema. A chest drain was inserted under ultrasound guidance at the time of admission and antibiotics were started. Over the past few days, there have been significant volumes drained and the patient has been improving clinically. On the daily morning ward round, his chest drain is reviewed which is on suction. There is minimal drain output over the past 24 hours, and it is noted that the chest drain is bubbling. This bubbling is more significant when the patient is asked to cough.
What does this indicate?

77 / 98

A 53-year-old female patient presents to the outpatient clinic for her asthma review.
She has been admitted to the hospital three times in the last year with asthma exacerbations. Admission duration was 2-3 days in hospital but never required intubation or intensive care admission. This is on a background of multiple admissions to hospitals in previous years.
On review, she reports wheeze associated with dyspnoea on most days and this is usually triggered by exertion. There is a non-productive cough most mornings which settles throughout the course of the day. There is no history of allergic rhinitis, eczema or other medical problems. She is a life-long non-smoker.
Current asthma therapy is high dose inhaled fluticasone propionate plus salmeterol 2 puffs twice daily, prednisolone 10mg once daily and inhaled salbutamol as required. She has been taking regular prednisolone 10mg for the last eighteen months.
On examination, observations revealed a respiratory rate of 14/min, oxygen saturation of 98% on room air, heart rate 80/min regular, blood pressure 130/70 mmHg and a temperature of 36.8ºC. There is no clubbing, cervical lymphadenopathy or elevation of the jugular venous pressure. Auscultation of the chest revealed dual heart sounds with no murmurs and some mild expiratory wheeze in the upper zones. The calves were soft and non-tender, with no pedal oedema.
You had reviewed this patient during her most recent exacerbation and had arranged some outpatient tests, the results of which are shown below:

77. Hb 14 g/dl,
WBC 8 x 10^9/L (Neuts 4.5 x 10^9/L, Lymphs 1.0 x 10^9/L, Eosin 2.5 x 10^9/L)
Platelets 350 x 10^9/L
Sodium 138 mmol/L, Potassium 3.4 mmol/L, Urea 5 mmol/L, Creatinine 70 mcmol/L
CRP 7 mg/l

Fraction of exhaled nitric oxide – 65 parts per billion (upper limit of normal 50 ppb)

Which of the following would be the most appropriate management for this patient?

78 / 98

78. A 38-year-old gentleman attends A&E at 9 p.m. during a busy medical take. He complains of chest pain which has intermittently been present since the morning. On further questioning, his pain is central in location with no radiation and some associated nausea. His father suffered from an MI at the age of 65 and his grandfather suffered from peripheral vascular disease. His troponin-I is 0.05 (significant >0.1) and ECG shows no ischaemic changes. This gentleman asks you what happens next, what should you tell him?

79 / 98

79. A 56-year-old gentleman, who is a lifelong non-smoker, has to retire early from his architecture job due to fatigue and shortness of breath. A chest radiograph 8 weeks back was normal and he was commenced on low dose diuretics with no significant improvement in symptoms. A repeat chest x-ray reveals a large right-sided pleural effusion.

His labs are as follows:

Hb                                                                   12.3 g/dL

ESR                                                                67 mm fall at 1st hour

TLC                                                                 12 x 10^9 / L

Platelets                                                          156 x 10^9 / L

Sodium                                                           130 mmol/L

Potassium                                                      3.3 mmol/L

Urea                                                               7.8 mmol/L

Creatinine                                                      134 µmol/L

Corrected Ca                                                  3.0 mmol/L

Albumin                                                           24 g/L

AST                                                                    90 U/L

Alkaline phosphatase                                     45 U/L

Phosphate                                                       1.3 mmol/L

Bicarbonate                                                     35 mmol/L

What is the most likely cause of lab results?

80 / 98

80.

A 73-year-old ex-smoker with a history of COPD presents to the emergency room by ambulance. He has an FEV1 of 40% of predicted. He does not use home oxygen. His pulse is 120/min and regular, blood pressure 110/60 mmHg, respiratory rate 12/min, and Glasgow Coma Scale score reduced to 12. He is breathing 10 L of oxygen via a mask.
Arterial blood gases (ABGs) demonstrate pH 7.21, PaO2 103 mmHg, PaCO2 90 mmHg, HCO3 – 35 mmol/L (RR 23–33). Your approach to treatment should be:

81 / 98

81.

A 64-year-old female was admitted to the hospital with a moderate-large sized embolic stroke. She had a history of diabetes and newly diagnosed atrial fibrillation (AF). Her blood pressure on admission was 165/90 mmHg with a heart rate of 95 beats per minute.
An MRI brain was performed 24 hours after admission which showed a moderate to a large area of infarction involving the anterior 2/3rd of the left middle cerebral artery territory without haemorrhagic transformation.
With regards to the management of her AF and stroke prevention, the most appropriate decision would be to commence which of the following?

82 / 98

82. A 65-year-old man comes to the respiratory clinic. He is a current smoker with a 60 pack-year history. He has been suffering from a worsening cough and haemoptysis for the last month and has had a weight loss of 3 kg over one month. On examination he looks cachectic, his fingers are clubbed and tar-stained. His wrists are tender. His chest shows reduced expansion on the right side with reduced breath sounds and dullness. What is the wrist tenderness likely to indicate?

83 / 98

A 54-year-old lady is brought into the emergency department with a Glasgow Coma Scale of 5. She was found by a friend this morning unconscious and purple with no response. She had been unwell the previous days with an exacerbation of her COPD in which she was developing severe pleuritic chest pain. She had recurrent exacerbations of her COPD and had been hospitalised three times this year with one admission to ITU for intubation and ventilation.
In addition, she had hypertension, hypothyroidism and chronic regional pain syndrome. Her medications include fostair, ventolin, gabapentin, codeine, paracetamol, amlodipine, ramipril, levothyroxine and morphine sulfate. She had taken extra doses of oral morphine to control her pleuritic pain. She has started a rescue pack of amoxicillin and prednisolone one day prior
On examination, she does not open her eyes which have 2 mm pupils bilaterally that are reactive. She groans to pain but there is no motor response. Her chest has some wheeze across and her respiratory rate is 9 breaths per minute. She is saturating at 88% on 4 litres of oxygen via nasal cannulae and there is no accessory muscle use. She has mild pitting oedema and is centrally cyanosed. She has a capillary refill of two seconds and there are no murmurs.

83. Hb 16.1 g/L, WBC 9.0 x 10^9/L (neutrophils 7.7 x 10^9/L, Lymphos 1.0 x 10^9/L), Platelets 309 x 10^9/L

ABGs(on arrival) – pH 7.25, pO2 59 mmHg, pCO2 56 mmHg, HCO3 31 mmol/L

Chest x-ray – poor inspiration, no overt consolidation

ECG – Sinus Rhythm

What is your first step in management?

84 / 98

84. A 45-year-old man presents to ER with shortness of breath, heavy chest pain and syncope. The chest pain and shortness of breath have been worsening over the last week. He is currently undergoing adjunct chemotherapy for a non-resectable soft tissue sarcoma. He has known metastasis in his thorax and mediastinum.

On physical examination, he is alert with his pulse rate being 110/min and regular, Blood pressure 95/55mmHg,  Respiratory rate 26/min, and Temperature 36.7ºC. JVP is raised at 5 cm. On precordial examination, there are no thrills, and he has quiet S1 and S2.

Lab tests show:
Hb 9.0 g/dl, Platelets 100 x 10^9/L, WBC 12.4 x 10^9/L

Sodium – 132 mmol/L, Potassium 3.2 mmol/L, Bicarb 19 mmol/L, Urea 8 mmol/L, Creatinine 144 mcmol/L.

What is the more specific ECG finding associated with this diagnosis?

85 / 98

85.

A 46-year-old woman with a long history of asthma presents with gradually progressive cough and breathlessness, and with fever and mild weight loss. There is no history of rhinosinusitis, rash, or focal neurological symptoms. On examination, there is a bilateral wheeze. Oxygen sats on room air is 92%. A chest X-ray shows diffuse alveolar infiltrates, predominantly peripheral. A high-resolution CT scan of the chest confirms alveolar infiltrates and mediastinal lymphadenopathy. Blood eosinophils are 5.4 × 10^9/mL (normal <0.4 × 109/mL). Serum precipitins for Aspergillus are negative. What is the most likely diagnosis?

86 / 98

86. A 40-year-old male patient, a known case of Acute lymphoblastic leukaemia, has been referred to you from an oncology hospital with malaise, tiredness and nausea. The only pertinent history available at present is that he has been treated with chemotherapy and had developed a prolonged fever that required intravenous treatment. On examination, he is normotensive with no remarkable finding on physical examination.

His labs are as follows:

Sodium                                                 137 mmol/L

Potassium                                             2.4 mmol/L

Urea                                                      5.0 mmol/L

Bicarbonate                                          26 mmol/L

Chloride                                                110 mmol/L

Urine dipstick                                       Negative

What is the most likely diagnosis?

87 / 98

87. A 57-year-old lady was brought to the emergency unconscious. Her blood glucose was 2.2 mmol/L. She regained consciousness with Intravenous glucose. She gave a 3-month history of early morning dizziness.

Her labs are as follows:

Hb                                                                    14 g/dL

MCV                                                                84 fl

Fasting blood glucose                                    2.2 mmol/L

Blood insulin                                                   16 mU/L

C-peptide levels                                              High

RFTs and LFTs                                               Normal

What further test will help to confirm the diagnosis?

88 / 98

88.

A 50-year-old man is admitted to the respiratory ward with left lower lobe pneumonia. He has a history of chronic obstructive pulmonary disease, hypertension, and dyslipidemia and is a current smoker.
He is treated with steroids, nebulisers and antibiotics. After 5 days, he continues to be hypoxic with saturations of 86% on air, ongoing left basal crepitations and wheeze.
A CT scan of the chest is performed which shows emphysematous changes and resolving left basal consolidation. There is also a 7 mm lung nodule in the right upper lobe with surrounding ground-glass change.
Over the next 3 days, his saturations improve to 93% on air and his symptoms resolve. He is discharged home.
What imaging does he require to follow up for his pulmonary nodule?

89 / 98

89. A 60-year-old man with a new diagnosis of idiopathic pulmonary fibrosis is reviewed in the respiratory clinic following initial baseline investigations. He has been suffering from progressive shortness of breath for nine months with a non-productive cough. His GP has tried to give him inhalers and antibiotics but this has not helped. He has a past medical history of hypertension, depression and gout. He is concerned about his new diagnosis, especially about his prognosis. What test is most useful in determining prognosis?

90 / 98

90. A 60-years-old lady presents with chronic diarrhoea. Physical examination is unremarkable except for an erythematous rash over her legs.

Her labs are as follows:

Hb                                                                   9.0 g/dL

TLC                                                                 11 x 109/L

Platelets                                                          220 x 109/L

Fasting blood glucose                                    10 mmol/L

 

What is the possible unifying diagnosis?

91 / 98

91. A 52-year-old female presents with a sudden severe headache while watching television which according to her is unprecedented in her life. She has vomited once. She is mildly drowsy, appearing unwell and there is some neck stiffness. Her pulse is 104/min and her blood pressure is 150/100 mmHg. There is no fever and no focal neurological signs. Fundoscopy is normal.

Given the likely diagnosis, what is the commonest cause of this problem?

92 / 98

92. A 42-year-old male has been admitted with a week history of fever, anorexia and headache not responding to over-the-counter paracetamol. 4 days back he also developed a dry cough and mild dyspnea, and developed generalized skin rash 2 days back. He was prescribed Tab Co-Amoxiclav from a private clinic 3 days ago. He has a 10-pack-year smoking history. His past medical history is unremarkable.

On admission, he was fully alert. His temperature was 102.4 F, Pulse 90/min, BP 110/65 mmHg. His chest auscultation reveal bilateral vesicular breathing without any wheeze but several fine crepitations were audible at the right lung base. He has a fine maculopapular rash over his trunk and arms; several target lesions were noted. The general examination was otherwise normal. His co-amoxiclav has been stopped. The following day, he complains of myalgias and dull aching pain central chest.

His investigations are as follows:

Hb                                                                   13 g/dL

ESR                                                                70 mm fall at 1st hour

TLC                                                                 10 x 10^9 / L

Sodium                                                           142 mmol/L

Potassium                                                      4.4 mmol/L

Urea                                                                9 mmol/L

Creatinine                                                      90 µmol/L

Aspartate transaminase                                 90 U/L

Alkaline phosphatase                                      150 U/L

Bilirubin                                                           12 µmol/L

Blood & sputum culture                                 Negative

Cold agglutinins                                                 Positive

Chest X-Ray                                    Patchy consolidation right base

ABGs –                                       pO2 – 8.9 kPa, pCO2 – 4.5 kPa

ECG                                           sinus tachycardia, widespread T-wave flattening and inversion

Echocardiography – Normal valves and chambers with slightly reduced contractility of Left ventricle

What is the most likely diagnosis?

93 / 98

93. A 79-year-old man presents with severe central chest pain which started around 90 minutes ago. He is known to have ischaemic heart disease and had a coronary artery bypass graft (CABG) five years ago. On arrival at the Emergency Department, he is clammy and vomiting. An ECG is taken:

What is the most accurate description of what is shown on this ECG?

94 / 98

94. A 16-year-old girl has been brought by her mother with symptoms of fatigue. Her mother has noticed that ‘she is becoming pale’. Her menarche set in about 2 years ago and her menstrual bleed has become heavier recently. There is no history of bleeding elsewhere or bruising. Her father is working overseas and is not available. However, they give a history of recurrent anemia in his youth. She has no siblings. On examination she is pale and abdominal palpation reveals 2-cm splenomegaly.

Her labs are as follows:

Hb                                                                   6.7 g/dL

TLC                                                                 8.1 x 109/L

Platelets                                                          370 x 109/L

Reticulocytes                                                  10%

Direct Coomb’s test                                      Negative

Urea                                                                4.2 mmol/L

Na+                                                                 141 mmol/L

K+                                                                                 4.9 mmol/L

Bilirubin                                                          38 µmol/L

AST                                                                  69 U/L

Alkaline phosphatase                                   119 U/L

Haptoglobins                                              Not detected

Urinary hemosiderin                                       Absent

What is the next most appropriate investigation?

95 / 98

95. A patient with a background of COPD presents to the emergency department with a simple pneumothorax 2.4 cm in size. What is the most suitable management option?

96 / 98

96.

A 56-year-old man is being reviewed in the sleep clinic. He was initially referred by his GP for early morning headaches, somnolence during the day and a report of loud snoring by his wife. He underwent sleep polygraphy which showed 28 apnoeas and hypopneas per hour.
Previous medical history includes hypertension and hyperlipidaemia. His BMI is 33 kg/m². He is a non-smoker and drinks 6 units of alcohol a week. In the last month, he has lost 3 kg in weight. But states that his symptoms have shown little improvement so far.
What would be the next step in his management?

97 / 98

97. A 19-year-old male is admitted with severe abdominal pain, constipation and vomiting. He has a history of similar episodes in past as well and admitted multiple times. During the current episode, he notices a raised non-pruritic skin rash on the dorsum of his right hand. He recalls similar lesions on various sites in previous episodes of pain abdomen. His abdomen is distended but non-tender. A plain x-ray abdomen reveals several fluid levels in the small bowel.

What is the most likely diagnosis?

98 / 98

A 55-year-old woman is admitted with an infective exacerbation of bronchiectasis. Multiple sputum cultures in the community have grown 98. Pseudomonas aeruginosa and her GP had started oral ciprofloxacin. However, despite 4 days of this, she has developed worsening breathlessness, hypoxia, and fever and is now requiring oxygen.
Widespread coarse crepitations are heard and her chest x-ray demonstrates bilateral infiltrates.
What is the most appropriate course of action?

The average score is 10%